Трихинеллез – острое паразитарное заболевание, поражающее людей и млекопитающих. Заболевание поражает суставы и центральную нервную систему. Обострения заболеваемости наблюдаются в осенне-зимний период.

Причины Трихинеллеза

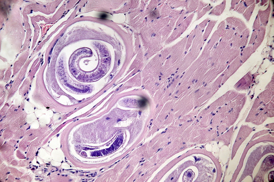
Возбудитель заболевания – круглый червь Trichinella spiralis. Источником и переносчиком инфекции являются дикие и домашние животные. Зараженный человек не несет опасность для других людей.

Личинки паразита обитают в мышечных тканях свиней, диких кабанов, медведей, моржей, лошадей и т.д. Человек может инфицироваться при употреблении недостаточно термически обработанного мяса. После попадания с пищей живых цист трихинеллы в желудке происходит их освобождение и дальнейшее созревание до взрослых особей с последующим размножением. Женские особи паразитов внедряются в стенки кишечника и спустя несколько дней начинают производство личинок. Длительность выделения личинок может достигать  4-6 недель, после чего женская особь погибает и удаляется из организма. Личинки же разносятся по всему организму через лимфатические сосуды и кровоток.  Любимым местом обитания трихинелл являются поперечнополосатые мышцы (кроме сердечной). Внутри мышцы личинка через 4-8 недель покрывается капсулой и спустя полгода затвердевают (кальцифицируются), однако при этом остаются жизнеспособными на протяжении 10 лет.

Симптомы Трихинеллеза

Инкубационный период заболевания составляет 5-30 суток. Начало заболевания острое, сопровождающееся ознобом, нарушением сна, ломотой в теле, галлюцинаций, повышения температуры тела. Симптомы трихинеллеза варьируются от стадии заболевания, количества личинок, общего состояния здоровья человека. У некоторых заболевание протекает в бессимптомной форме.

Симптомы заболевания проявляются в двух стадиях:

  • кишечная, развивающаяся через 1-2 дня после употребления зараженного мяса. Проявляется диареей, тошнотой, рвотой, спазмами в животе, повышением температуры тела;
  • миграционная стадия развивается обычно через 7-15 дней после попадания личинок в мышцы. Проявляется отеками лица и век, конъюнктивитом, слабостью, болью в мышцах, жаром. Возможно появление высыпаний.
Диагностика Трихинеллеза

Диагностикой и лечением заболевания занимается врач инфекционист. Важно дифференцировать трихинеллез от лептоспироза, геморрагической лихорадки с почечным синдромом,  аскаридозом, висцеральным токсокарозом, отеком Квинке и отеками, связанными с почечной недостаточностью.

В ходе осмотра врач анализирует эпидемиологический анамнез, а также назначает лабораторные и инструментальные исследования, в числе которых:

  • анализ крови;
  • серологическая диагностика (ИФА);
  • ЭКГ;
  • УЗИ суставов, мягких тканей, органов брюшной полости;
  • рентгеноскопия;
  • биопсия мышечной ткани.
Лечение Трихинеллеза

Лечение трихинеллеза должно осуществляться только в условиях стационара. Специфическое лечение подразумевает прием мебендазола курсом на 7-10 дней в зависимости от степени тяжести заболевания. В качестве симптоматической терапии назначают нестероидные противовоспалительные препараты, антигистаминные препараты, энтеросорбенты. При необходимости назначают гормональные препараты.

При легком и среднетяжелом течении заболевания прогноз благоприятный – выздоровление наступает через 5-6 дней. Тяжелая форма трихинеллеза может иметь длительный период реконвалесценции с остаточной астенизацией, болью в мышцах. Также тяжелая форма заболевания может приводить к следующим осложнениям:

  • миокардит;
  • пневмония;
  • менингоэнцефалит;
  • абдоминальный синдром;
  • неспецифический васкулит;
  • распространенный гранулематоз в головном и спинном мозге;
  • острая сердечная и дыхательная недостаточность;
  • паралич;
  • парез;
  • тромбогеморрагический синдром;
  • инфекционно-токсический шок;
  • эцефалопатия.
Профилактика Трихинеллеза

Основной мерой профилактики является соблюдение всех ветеринарных норм по уходу за сельскохозяйственными животными, проведение ветеринарно-санитарной экспертизы мясной продукции перед ее реализацией. Избегайте употребления в пищу мяса диких животных. Обязательно подвергайте тщательной термической обработке мясо домашних животных при приготовлении пищи.

УкраЇнська