Синдром Гудпасчера – заболевание воспалительного характера, которое поражает мелкие кровеносные сосуды легких и почек.

Причины

Точные причины развития заболевания точно не установлены. Имеются лишь предположения относительно причин патологии.

Провоцирующие факторы:

  • Вирусные и бактериальные инфекционные заболевания;
  • Воздействие некоторых лекарственных препаратов;
  • Воздействие неблагоприятных факторов окружающей среды;
  • Аутоиммунная реакция организма;
  • ВИЧ.
Симптомы

Основные симптомы заболевания:

  • Кровохаркание;
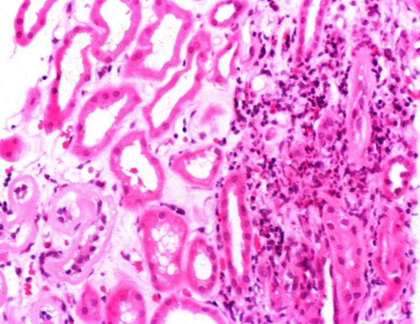
  • Двустороннее иммунное воспаление почек;
  • Отечность нижних конечностей, живота, лица;
  • Малокровие;
  • Усиливающаяся одышка;
  • Кашель;
  • Боль в грудной клетке;
  • Ухудшение аппетита, потеря веса;
  • Слабость, недомогание;
  • Повышение температуры тела;
  • Уменьшение объема выделяемой мочи;
  • Гематурия;
  • Покраснение конъюнктивы глаз;
  • Повышение артериального давления.
Диагностика

Врач проводит анализ жалоб пациента, а также анализ анамнеза заболевания. Выполняют общий и биохимический анализ крови, анализ мочи, анализ мокроты, исследование функции внешнего дыхания, рентгенографию легких, реакцию иммунофлюоресценции, анализ на определение в крови специфических белков.

Также пациенту требуется консультация пульмонолога.

Лечение

Ранняя диагностика и своевременное начало лечения синдрома Гудпасчера увеличивают шанс благоприятного прогноза заболевания.

Медикаментозная терапия подразумевает прием высоких доз кортикостероидных препаратов, иммуносупрессантов.  Для ускорения вывода из крови специфических антител проводят плазмаферез. Также пациенту необходимо проведение гемодиализа. При необходимости назначают препараты железа.

Осложнения:

  • Острая почечная недостаточность;
  • Легочные кровотечения;
  • Летальный исход.
УкраЇнська