Расслоение аорты – смертельно опасное заболевание, которое характеризуется разрывом и отделением внутреннего слоя стенки аорты от среднего слоя. Чаще всего нарушается целостность грудной аорты. Заболевание развивается в основном у пациентов в возрасте 60-70 лет, преимущественно у мужчин.

Причины Расслоения аорты

Чаще всего причиной расслоения аорты является слабость стенки артерии, которая возникает вследствие длительного повышения артериального давления. Также причиной расслоения аорты могут являться наследственные заболевания соединительной ткани, врожденные пороки сердца и сосудов, артериосклероз, травмирование грудной клетки. Иногда расслоение аорты может произойти во время проведения терапевтических процедур, например, при введении катетера в артерию или во время операции на сердце или кровеносных сосудах.

Симптомы Расслоения аорты

Основной симптом расслоения аорты – внезапная сильная боль в области груди, отдающая в спину и межлопаточную область. Боль настолько сильная, что некоторые пациенты могут терять сознание. Боль может мигрировать от места разрыва по ходу расслоения стенки аорты. Так, из-за блокады брыжеечных артерий, которые снабжают кровью кишечник, могут возникать боли в животе. Расслоение аорты прогрессирует и может достигнуть участков отхождения артерий от аорты, тем самым блокируя поток крови через артерии. Последствия расслоения аорты напрямую будут зависеть от того, какие артерии блокируются.

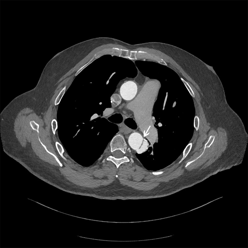
Диагностика Расслоения аорты

При подозрении на данное заболевание необходимо срочная и точная оценка состояния больного. Основными методами диагностики расслоения аорты являются: рентгенография грудной клетки, ЭхоКГ, УЗДГ, КТ, МРТ, аортография.

Лечение Расслоения аорты

Больные с расслоением аорты нуждаются в экстренной госпитализации. В кратчайшие сроки пациенту вводят препараты, снижающие частоту сердечных сокращений и артериальное давление до минимально низкого уровня, которого будет достаточно для кровоснабжения жизненно важных органов.

Если расслоение аорты произошло в непосредственной близости к сердцу – возникает вопрос о проведении хирургической операции. Операция заключается в удалении расслоившегося участка аорты и закрытии хода разрыва между слоями стенки аорты, а также в восстановлении целостности аорты синтетическим трансплантатом.

Если расслоение аорты произошло в удаленных от сердца участках – проводится консервативная терапия без хирургического вмешательства. Пациенты, которые перенесли расслоение аорты,  должны будут в течение всей оставшейся жизни принимать препараты, поддерживающие низкое артериальное давление. При своевременно начатом лечении прогноз заболевания благоприятный.

Осложнения Расслоения аорты
  • при блокировании артерий, которые снабжают кровью мозг, может возникнуть инсульт;
  • при блокировании артерий, кровоснабжающих сердце, может возникнуть инфаркт миокарда;
  • при блокировании артерий, снабжающих кровью почки, может развиться почечная недостаточность;
  • при блокировании спинномозговых артерий может произойти поражение нерва или спинного мозга.
УкраЇнська