Рак поджелудочной железы – злокачественное новообразование, поражающее ткани поджелудочной железы. Мужчины болеют данным заболеванием в 1,5 раз чаще женщин.

Причины Рака поджелудочной железы

Точные причины заболевания не установлены, однако известны некоторые факторы, которые способствуют его возникновению. К ним относят:

  • курение;
  • диета с большим количеством углеводов;
  • перенесенные операции на желудке;
  • сахарный диабет;
  • хронический панкреатит;
  • наследственность;
  • пожилой возраст.
Симптомы Рака поджелудочной железы

Ранние симптомы заболевания весьма неспецифичны: дискомфорт в животе, метеоризм, ухудшение аппетита, потеря веса, диарея, тошнота. Более поздними симптомами являются специфические симптомы: желтуха, зуд кожи, боль в эпигастрии или спине, рвота, увеличенный пальпируемый желчный пузырь, внезапное появление сахарного диабета, тромбоз вен, желудочно-кишечные кровотечения, увеличение селезенки, непроходимость двенадцатиперстной кишки, асцит.

Новообразование поджелудочной железы характеризуются высокой степенью злокачественности, быстрым прогрессированием, повышенной склонностью к инфильтрации соседних органов и сосудов, метастазированием в брюшину, лимфоузлы, печень и отдаленные органы.

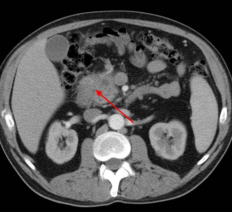
Диагностика Рака поджелудочной железы

Для постановки диагноза врачу необходимо собрать анамнез жизни пациента, семейный анамнез, провести полный осмотр. Из лабораторных методов диагностики выполняют следующие: общий анализ крови, биохимический анализ крови, анализ на определение онкомаркеров, определение уровня тестостерона, анализ кала, общий анализ мочи. Из инструментальных методов доктор назначает УЗИ органов брюшной полости, КТ, МРТ, эндоскопическую ретроградную холангиопанкреатографию, биопсию.

Лечение Рака поджелудочной железы

Основной и обладающий высокой эффективностью метод лечения – хирургический. Объем хирургического вмешательства будет зависеть от стадии развития опухоли, наличия метастазов.  Если хирургическое вмешательство возможно, то прибегают к радикальной операции — удалению поджелудочной железы, желчного пузыря с протоком, двенадцатиперстной кишки, прилегающего участка толстого кишечника и желудка. К сожалению, в 80-90% случаев диагностируется неоперабельная опухоль из-за наличия метастазов или прорастания в крупные сосуды.

К нехирургическим методам лечения относят химиотерапию препаратами, которые подавляют рост злокачественных клеток, а также лучевую терапию.

Паллиативное лечение проводится с целью снятия основных клинических симптомов. Оно заключается в обезболивании, коррекции проходимости желчных путей для устранения желтухи.

В большинстве случаев прогноз неблагоприятный – около 4-6 месяцев жизни после постановки диагноза. Всего около 3% достигают пятилетней выживаемости.

УкраЇнська