Полидактилия или многопалость – врожденная патология конечности, которая проявляется наличием дополнительных пальцев. Чаще всего дополнительными пальцами выступают мизинцы или большие пальцы.  Аномалия может сочетаться с прочими патологиями опорно-двигательного аппарата.

Причины Полидактилии

Заболевание имеет наследственный характер. Встречаются случаи рождения детей с многопалостью у родителей без патологии. Однако при генетических исследованиях можно определить наличие патологического гена у одного из родителей, который проявляется развитием патологии не у всех носителей гена. Шанс наследования патологии – 50 %.

Симптомы Полидактилии

Заболевание проявляется сразу после рождения ребенка и чаще всего характеризуется удвоением мизинца на кистях рук или является вторым мизинцем. Дополнительные пальцы могут иметь абсолютно нормальную структуру. У некоторых пальцы не имеют костной основы и представляют собой нефункционирующие мягкотканые формирования на кожной ножке или выглядеть как удвоение ногтевой фаланги.  При такой патологии нарушается моторная функциональность руки.

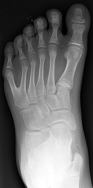
Диагностика Полидактилии

Определить заболевание можно с первых мину после рождения ребенка. Диагностику заболевания проводит детский травматолог. Врач должен определить степень функциональных и анатомических аномалий и установить вариант патологии. Для определения степени повреждения костно-суставной системы проводят рентгенографию пораженной конечности. Дополнительно необходима консультация генетика.

Лечение Полидактилии

Лечение заболевания исключительно хирургическое. Во время операции происходит удаление дополнительного пальца или кожного формирования.  Не стоит откладывать операцию на потом, ведь аномалия может отрицательно сказаться на развитии мелкой моторики ребенка и функциональности конечности. Помимо этого возможно негативное влияние на психологическое развитие такого малыша. При своевременно проведенной операции исход будет благоприятным и патология не успеет повлиять на развитие моторики конечностей.

Профилактика Полидактилии

Никаких профилактических мер полидактилии не существует. При планировании беременности парам рекомендуется посещать генетика.

УкраЇнська