Пневмокониоз – хроническое заболевание дыхательной системы, возникающее вследствие длительного вдыхания загрязненного пылью воздуха и характеризующееся формированием в тканях легкого диффузного фиброза. Заболевание распрстранено преимущественно у рабочих угольной, асбестовой, машиностроительной, стекольной и прочих видах промышленностей.

Причины Пневмокониоза
  • продолжительное вдыхание пыли органического или химического происхождения;
  • хронические заболевания;
  • наследственная предрасположенность

Виды пневмокониозов:

  • силикоз – вид пневмокониоза, который развивается вследствие воздействия пыли с содержанием диоксида кремния;
  • силикатоз – пневмокониоз, развивающийся вследствие вдыхания силикатов (асбест, калий, тальк, нефелин);
  • металлокониоз – заболевание легких, возникающее вследствие воздействия металлической пыли;
  • карбокониоз – вызывается наличием во вдыхаемом воздухе углеродсодержащей пыли (антрацит, сажа, графит);
  • пневмокониоз, связанный с воздействием смешанной пыли;
  • разновидность пневмокониоза, развивающаяся вследствие длительного вдыхания органической пыли (лен, хлопок, шерсть, сахарный тростник и т.д.).
Симптомы Пневмокониоза

Начальные симптомы заболевания проявляются в виде одышки, кашля с незначительным отделением мокроты, боли в  грудной клетке, а также в межлопаточной и подлопаточной зонах. Изначально боль появляется периодически и усиливается при вдохе и кашле, однако по мере прогрессирования заболевания симптомы становятся более выраженными и постоянными. В дальнейшем у больных появляется слабость, субфебрильная температура, повышенное потоотделение, снижение массы тела, одышка даже в состоянии покоя, синюшность носогубного треугольника, изменение формы пальцев и ногтей.

Пневмокониоз прогрессирует, и у пациентов возникают симптомы недостаточности дыхания, возникновение легочного сердца, гипертензия. Некоторые формы заболевания осложняются хроническим бронхитом.

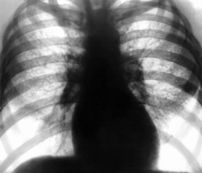
Диагностика Пневмокониоза

Своевременная диагностика заболеваний легких лиц, подверженных профессиональным рискам заключается в регулярном проведении крупнокадровой флюорографии.  На снимке будут присутствовать классические изменения и усиление легочного рисунка, специфические для данного заболевания мелкоочаговые тени.

Для уточнения характера и стадии заболевания  врач может назначить пациенту проведение КТ и рентгенографии легких. Исследование мокроты под микроскопом покажет значительное количество пыли и макрофагов.

При прогрессировании заболевания площадь поражения может увеличиться. С помощью КТ и МРТ можно определить участки эмфиземы, фиброза и утолщения плевры. Для изучения внешнего дыхания врач проводит спирометрию, ликфлоуметрию, плетизмографию, пневмотахографию, анализ газового состава. В некоторых случаях используют бронхоскопию, биопсию и прочие способы диагностики.

Лечение Пневмокониоза

Для эффективного лечения пациенту, прежде всего, придется прекратить контакт с загрязненным пылью воздухом. Дальнейшее лечение направляется на прекращение прогрессирования заболевания, устранение неприятных симптомов, сопутствующих заболеваний и предотвращение развития осложнений. Популярны оздоровительные и закаливающие мероприятия: ЛФК, лечебный душ. При неосложненных формах заболевания назначают ультразвук или электрофорез с кальцием и новокаином на область грудной клетки. При осложненном пневмокониозе требуется прием глюкокортикостероидов в течение 1-2 месяцев под туберкулостатической защитой. Больным пневмокониозом рекомендуется проходить лечебно-профилактические курсы дважды в год в условиях стационара или санатория-профилактория.

УкраЇнська