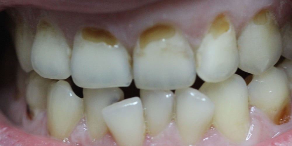
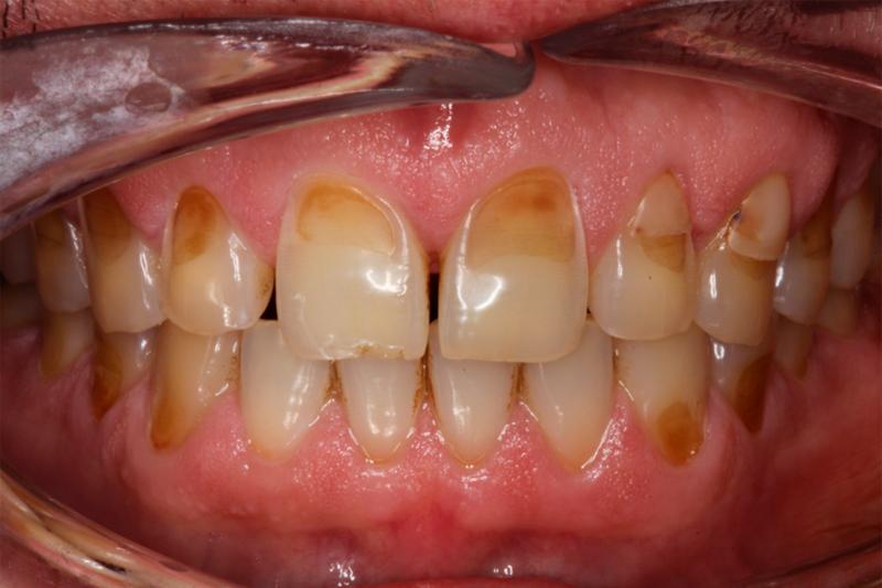
Эрозия зубов — это прогрессирующее необратимое истирание зубной эмали или дентина в результате химического растворения кислотами. Помимо эстетического дефекта и проблем со здоровьем полости рта, эрозия может привести к повышенной чувствительности и возможной потере пораженных зубов.

Причины Эрозии зубов

При эндогенной природе эрозии зубов причиной является попадание кислота желудочного сока на зубы. Часто эта причина является вторичной по отношению к таким состояниям, как нервная анорексия, нервная булимия, гастроэзофагеальная рефлюксная болезнь (ГЭРБ) и синдром срыгивания. Эрозия зубов также может быть вызвана внешними факторами. В некоторых случаях с рядом проблем со здоровьем полости рта, включая эрозию зубов, кариес и сухость полости рта, связаны расстройства пищевого поведения.

К экзогенным причинам относится употребление кислой пищи и напитков, которые понижают уровень pH во рту, что приводит к деминерализации зубов. Например, фруктовые соки (чаще яблочный и апельсиновый), спортивные напитки, вино и пиво. Газированные напитки, такие как кола и лимонады, также очень кислые и, следовательно, повышают риск развития эрозии. Такие продукты, как свежие фрукты, кетчуп и маринованные в уксусе продукты, также вызывают эрозию.

Ряд лекарственных средств, таких как жевательные таблетки витамина С, аспирин, антигистаминные препараты и некоторые препараты железа, являются кислыми и могут способствовать развитию эрозии. Кроме того, некоторые препараты могут вызывать сухость во рту, а это является одним из основных факторов появления эрозии зубов.

Также эрозия может быть связана с механическим повреждением зубов, например, с чрезмерно интенсивной чисткой зубов, неправильным использованием зубной нити, кусание твердых предметов (ногти, крышки от бутылок или ручки) или жевание табака.

Симптомы Эрозии зубов

Симптомы эрозии зубов могут отличаться в зависимости от стадии заболевания. К основным симптомам относятся:

  • Чувствительность. При истирании эмали стирается, зубы могут стать более чувствительными к горячей, холодной, сладкой и кислой пище.
  • Изменение цвета зубов. Зубы могут казаться более желтыми из-за обнажения дентина
  • Прозрачность. Края передних зубов могут стать прозрачными.
  • Трещины и вмятины. Если зубная эмаль начинает разрушаться, на зубах могут появиться трещины и небольшие вмятины вдоль жевательной поверхности. Когда эмаль разрушается, значительно увеличивается риск развития кариеса.
Диагностика Эрозии зубов

Диагностику проводит врач-стоматолог на основании осмотра и выявлении таких признаков, как чувствительность, изменение цвета и формы зубов, а также обсуждения с пациентом его пищевых привычек, заболеваний, техник гигиены полости рта.

Лечение Эрозии зубов

Эрозию зубов не всегда нужно лечить. Регулярные осмотры стоматолога помогут предотвратить усугубление проблемы. В более серьезных случаях может потребоваться установка пломб, виниров или коронок.

Профилактика Эрозии зубов

Для предотвращения эрозии зубов необходимо:

  • ограничить употребление кислой, сладкой пищи и напитков.
  • пить через соломинку, чтобы уменьшить воздействие напитков на зубы
  • использовать зубную щетку с мягкой щетиной и аккуратно чистить зубы.
  • избегать чистки зубов сразу после употребления кислой пищи и напитков, чистить зубы желательно не ранее, чем через пол часа
  • пить молоко и употреблять больше молочных продуктов
  • своевременно лечить основные заболеваний
  • регулярно проходить осмотр стоматолога
УкраЇнська